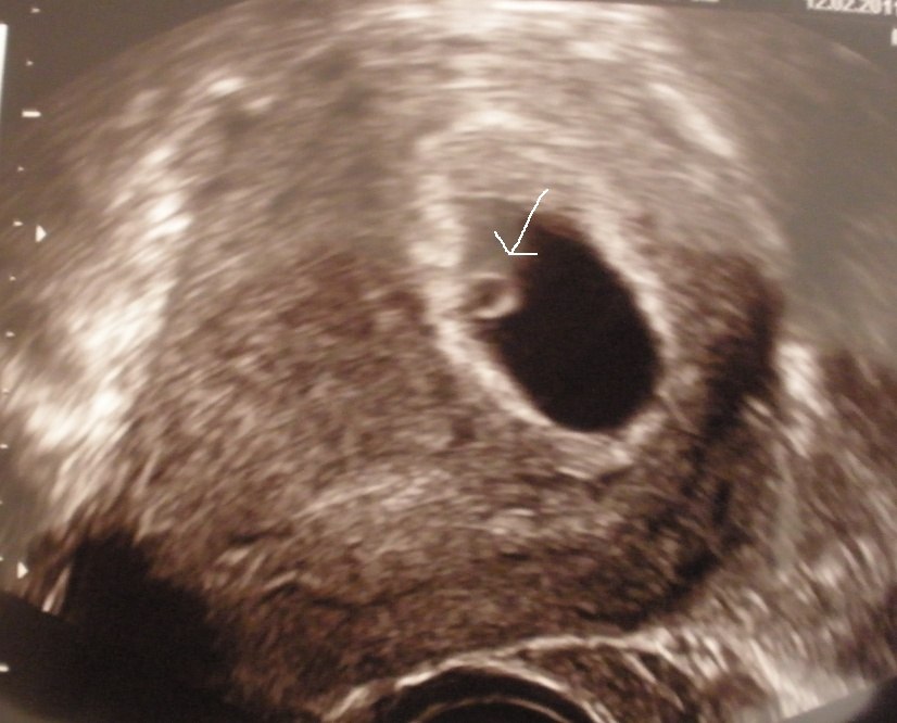
Så har vi været til tryghedsscanning. Det var en rigtig god oplevelse. Skulle scannes indenvendigt, da jeg ikke var længere henne, men det gjorde mig ikke noget. Man kunne tydeligt se det lille hjerte blinke afsted, og jeg blev helt rørt! Alt er som det skal være, og det sidde inde i livmoderen og ikke udenfor som jeg også havde frygtet. Vi har fået både billeder og DVD med
400 kroner slap vi med.
Hun sagde dog, at hun ikke mente jeg var 7+0, hvilket jeg er enig i, da jeg ikke kunne teste positiv på 28. dagen. Hun sagde at hun mente jeg var 6+et eller andet, men hun vidste ikke præcis hvor meget. Det kunne hun se dels ud fra størrelsen, og også fordi at de små fosteres hjerter normalt blinker hurtigere end vi andres, men i starten blinker de i samme hastighed som vores, og det var dén hastighed det lille foster blinkede med. Ergo mente hun, at hjertet ikke havde banket så længe.
Hun sagde at hun mente jeg kunne være alt imellem 5+6 og 6+3 eller 4. Det var svært at sige præcist. Jeg ved jeg er mindst 6+0 grundet testtidspunktet, og mit eget bud er 6+2 eller 3, men det må jeg jo finde præcist ud af til nakkefolds 
Hun rodede dog lidt rundt i det og forvirrede mig lidt, men fik ikke lige spurgt. Min kæreste sagde hvad det betød for terminen, og hun sagde at jeg så havde termin mellem den 20-25 september i stedet for 1. oktober, og det giver jo ikke mening ift. jeg kun er sat max en uge bagud. Vi tænkte på om hun mon mente d. 20-25 oktober, men det giver heller ikke mening, for så skulle jeg jo være sat 3 uger bagud
Så ja, jeg aner ikke meget om min termin lige nu, men hjertet slog så fint, og det er så lækkert at have på video! 
Det betyder også, at jeg på mandag fortæller jer hvem jeg er og afslører min identitet, hvilket jeg har glædet mig til. Vi har besluttet på mandag at fortælle resten af omverdenen det ud over familien. Jeg er klar over, at jeg ikke er langt henne, men det er pisse svært at skjule, og skulle jeg miste ville det være hårdt at lade som om, man ikke var ked af det.