Er der en eller to i maven ?

Spring til sidste ulæste indlæg
Følg denne tråd

791 visninger
5 svar
0 synes godt om

Du kan svare anonymt i tråden
24. januar 2022

Anonym trådstarter

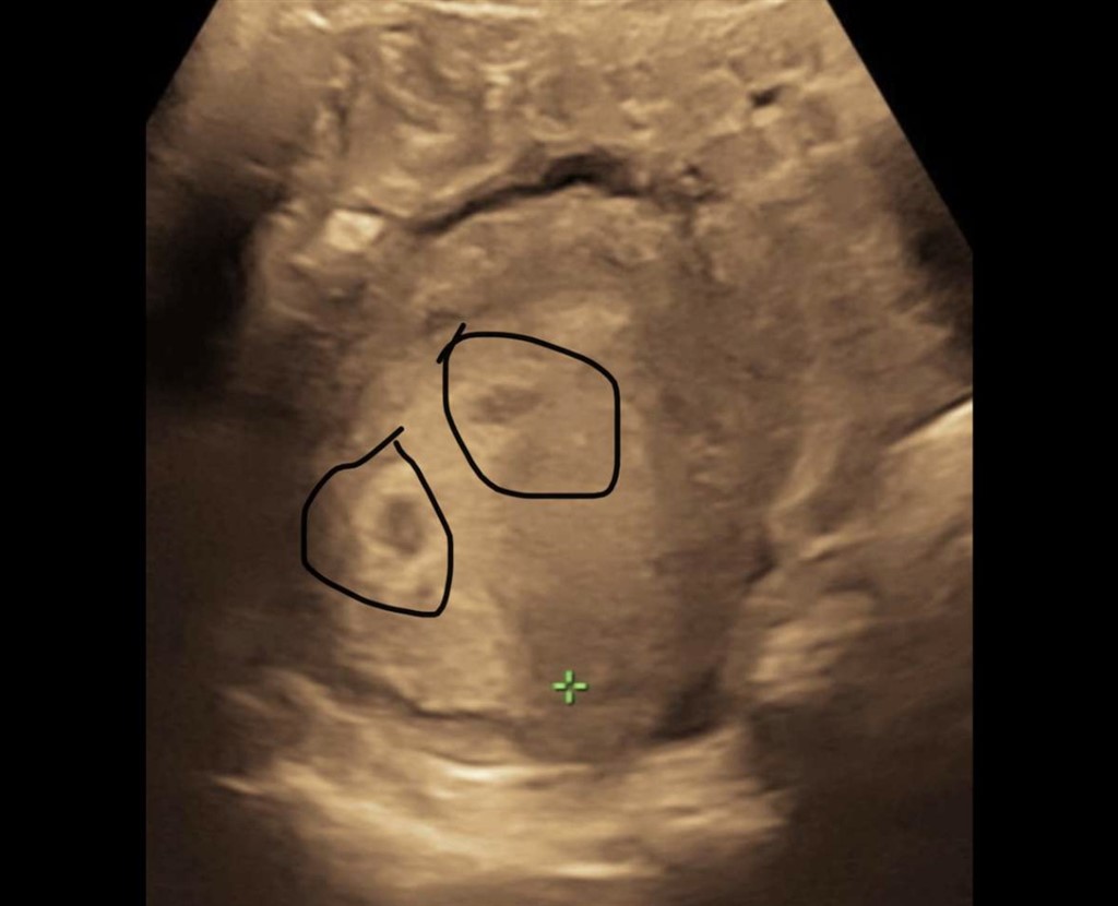
Var til tidlig scanning. Hun mente jeg nok var 5+2 måske. 

men er der en eller to ?? Kun nogle gange nr 2 sorte område dukkede op, som jeg forstod det ?

Vedhæftede fotos (klik for at se i fuld størrelse)

Anmeld Citér

Køb et abonnement på Vores Børn

Magasinet til dig med børn på 0-12 år

Priser fra 149 kr.

24. januar 2022

tutti

Sådan et billede med to sorte cirkler havde jeg også 4+5, men der var kun en baby Min gynækolog sagde, at det var ret almindeligt at se så tidligt i scanninger, hvor det enten er noget vævsrest, blodansamling eller der KAN være anlæg til en ekstra (oftest tom) sæk, og at denne sæk i langt de fleste tilfælde ikke udvikler sig. Ved en scanning to uger senere var den ene sorte cirkel væk (og jeg havde ikke haft nogen blødning eller lign.)

Så mon ikke det samme er gældende ved den her scanning - bare før du "stresser"/glæder dig over to cirkler  

Anmeld Citér

24. januar 2022

Anonym trådstarter

tutti skriver:

Sådan et billede med to sorte cirkler havde jeg også 4+5, men der var kun en baby Min gynækolog sagde, at det var ret almindeligt at se så tidligt i scanninger, hvor det enten er noget vævsrest, blodansamling eller der KAN være anlæg til en ekstra (oftest tom) sæk, og at denne sæk i langt de fleste tilfælde ikke udvikler sig. Ved en scanning to uger senere var den ene sorte cirkel væk (og jeg havde ikke haft nogen blødning eller lign.)

Så mon ikke det samme er gældende ved den her scanning - bare før du "stresser"/glæder dig over to cirkler  



Okay tak for svar  

Anmeld Citér

24. januar 2022

Timf

Profilbillede for Timf

Min gynækolog kaldte sorte plet nr to madpakken til baby

Anmeld Citér

24. januar 2022

Anonym trådstarter

Timf skriver:

Min gynækolog kaldte sorte plet nr to madpakken til baby



okay må jeg spørge hvorfor det

Anmeld Citér

25. januar 2022

Anonym

Jeg har haft to sorte “huller” i begge mine graviditeter og der kom kun et barn ud hver gang jeg har fået af vide at det er resterne af madpakken som embryoen får næring af indtil moderkagen virker  

Anmeld Citér

[ Spring til toppen ]

Gå til forsiden

Gratis eksperthjælp

Det er gratis at søge hjælp hos vores eksperter - se alle eksperterne her.